
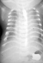
Die asphyxierende Thoraxdysplasie (Jeune-Syndrom) wurde 1954 erstmals von Jeune et al. beschrieben. Es handelt sich um ein autosomal-rezessiv vererbtes Fehlbildungssyndrom ausgelöst durch Fehlanlage des Chromosoms 15q13. Die Symptome bestehen in einem schmalen langen Thorax, kurzen Rippen, einer ausgeprägten Hypoplasie der Lunge mit schwerer Asphyxie (Abb. 1). Weitere Bestandteile sind ein Kleinwuchs, kurze Extremitäten sowie in vielen Fällen eine Niereninsuffizienz durch Nephronophthise, fibrozystische Veränderungen an Leber und Pankreas, eine Retinopathie sowie eine Hyperbilirubinämie. Die Mortalität ist bei Ausprägung aller Symptome sehr hoch. Als operative Verfahren sind die mediane Sternotomie mit Interposition einer Methylmethacrylat-prothese nach Todd sowie die laterale Thoraxexpansion nach Davis beschrieben.
(Engelskirchen R et al, Monatsschrift Kinderheilkunde Vol 154, Nr. 12, 2006)