Vorlesung Humangenetik: Das Konzept von "Gen und Genon"
Das Institut für Humangenetik der lädt zur Vorlesung ein:
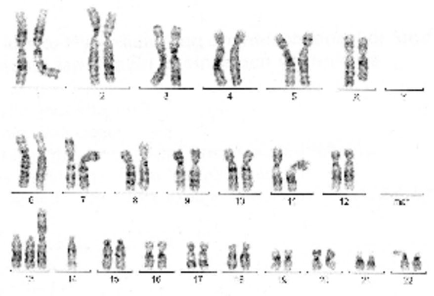
Prof. Dr. Klaus Scherrer vom Institut Jacques Monod aus Paris spricht zum Thema "Chromosomenorganisation in 3D und Genexpression – das Konzept von “Gen und Genon“.
Die Veranstaltung beginnt um 16.00 Uhr c.t. und findet im Hörsaal des Instituts statt.
Mehr Infos über die Forschungsarbeiten der Einrichtungen finden Sie hier.
Termin in lokalen Kalender importieren
Dieser Termin wurde eingetragen über ein "offenes Konto". Sie möchten für Ihre Einrichtung hier auch Termine eingeben? Einfach Mail senden an medizin.fak@uni-muenster.de.
