News
Fast 100.000 Teilnehmerinnen - und die ToSyMa-Studie zum Brustkrebs-Screening geht in die Verlängerung
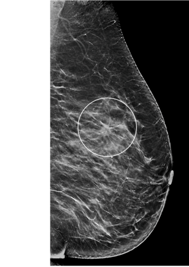
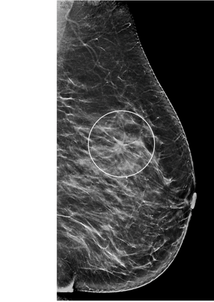
Systematische Brustkrebs-Früherkennung mit Digitaler Brust-Tomosynthese (DBT) und synthetischer 2D-Bildgebung (Foto: UKM-Radiologie Münster)
Münster (mfm/tb) - An der Universität Münster werden Fortentwicklungen digitaler Bildgebungstechniken zur Früherkennung von Brustkrebs und ihre Auswirkung auf die Effizienz im Mammographie-Screening erforscht. Zu Aktivitäten auf diesem Feld gehört mit „ToSyMa“ die weltweit größte Studie ihrer Art: In den 17 Studienzentren in Nordrhein-Westfalen und Niedersachsen wurden von 2018 bis Ende 2020 – also trotz der Corona-Hemmnisse – genau 99.689 Frauen für diese diagnostische Vergleichsstudie gewonnen. Die Datenbank wird am 30. Juni geschlossen – aber ToSyMa läuft weiter: Die Deutsche Forschungsgemeinschaft (DFG) fördert die Fortsetzung und Ausweitung der Studie, für die ursprünglich nur 80.000 Teilnehmerinnen vorgesehen waren, mit mehr als 1,6 Mio. Euro bis in das Jahr 2025.
Die DFG unterstützt damit das Ziel, die Chancen einer veränderten Brustkrebsentdeckung zu beurteilen: In der von einem interdisziplinären Team der Universität Münster erarbeiteten ToSyMa-Studie wird geprüft, ob die technische Weiterentwicklung der digitalen Mammographie zum Schichtbildverfahren (digitale Brust-Tomosynthese) den derzeitigen Standard im Screening voranbringt. Dieser besteht aktuell in einer zweidimensionalen mammographischen Brustuntersuchung.
Die hohe Zahl der teilnehmenden Frauen belegt nach den Worten von Studienleiter Prof. Dr. Walter Heindel die hohe Akzeptanz der systematischen Brustkrebs-Früherkennung im deutschen Screening-Programm. Der Direktor der Klinik für Radiologie und Leiter des Referenzzentrums Mammographie am Universitätsklinikum Münster (UKM) berichtet von weltweit hohen Erwartungen an die Studie. Die Weiterentwicklung der digitalen Mammographie zur Brust-Tomosynthese biete eine Technologie, die, so der Radiologe, „durch die Berechnung dreidimensionaler Datensätze potentielle Gewebeüberlagerungen in der Brust reduziert und die daher diagnostische Vorteile ermöglichen kann“. Im ersten Schritt will die Forschungsgruppe den Kenntnisstand einer gesteigerten Brustkrebsdetektion im Screening beurteilen. Konkret bedeutet das: Was kann im Sinne der Frauen zusätzlich erreicht werden, was das 2D-Mammographie-Screening vorher nicht konnte? Als zweite Hypothese wird die Quote von Mammakarzinomen unter Frauen in einem Zeitraum von zwei Jahren nach Screening-Teilnahme zwischen der Tomosynthese-Testgruppe und der Kontrollgruppe verglichen.
Frauen, die sich für eine Teilnahme am Screening entschieden hatten, wurden für die Datenerhebung der Studie nach dem Zufallsprinzip und mit einer 50:50-Chance entweder der Gruppe mit Standard-Mammographie zugeordnet oder der Gruppe mit Tomosynthese und daraus errechneter synthetischer Mammographie. In beiden Gruppen werden die Entdeckungsraten von Brustkrebs und die Häufigkeiten der Abklärungsdiagnostik miteinander verglichen. Die Zuweisung erfolgt mittels einer Software und kann durch niemanden beeinflusst werden. Fachleute nennen das eine randomisierte klinische Studie. Frauen in Nordrhein-Westfalen und Niedersachsen erhielten seit 2018 zusammen mit ihrer regulären schriftlichen Einladung zum Screening nach dem Zufallsprinzip das Angebot, an der Studie teilzunehmen. Die ersten Zwischenergebnisse zu ToSyMa werden Ende 2021 erwartet.
Publikationen:
Weigel S, Gerss J, Hense HW, Krischke M, Sommer A, Czwoydzinski J, Lenzen H, Kerschke L, Spieker K, Dickmaenken S, Baier S, Urban M, Hecht G, Heidinger O, Kieschke J, Heindel W.
BMJ Open 2018; 0:e020475. doi:10.1136/bmjopen-2017-02
Jump to comment:
The TOSYMA RCT: Increasing the study sample size to assess the effect of DBT on interval canceer rates in mammography screening.
Heindel W, Weigel S, Kerschke L, Spieker K Hense H-W, Gerss K.
Published on 25 November 2020






