News
Brustkrebs-Früherkennung: Neue TOSYMA-Analyse untermauert Vorteile des DBT+SM-Einsatzes gegenüber dem bisherigen Standard
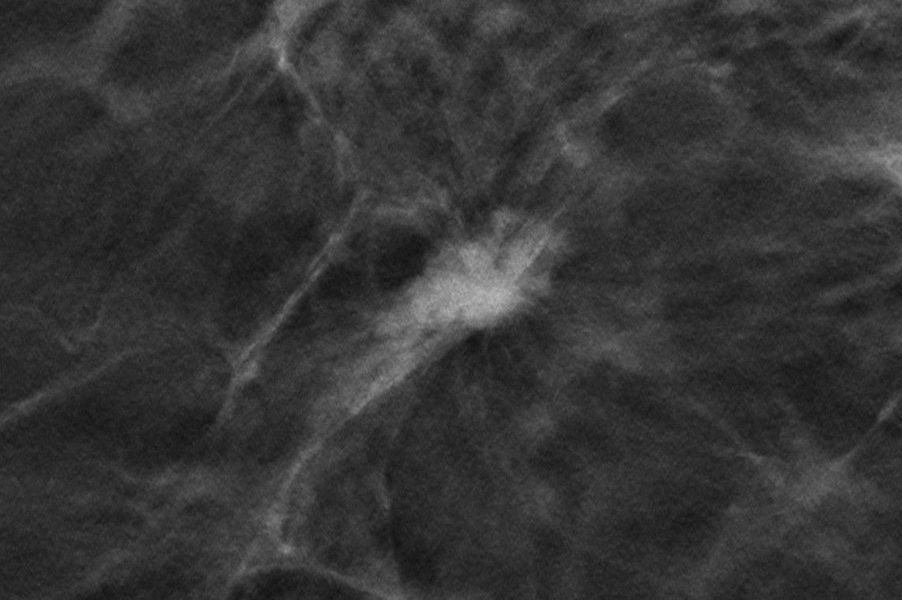
Münster (mfm/sw) – In der Diagnostik gilt: Mehr finden ist nicht automatisch besser. Vielmehr geht es darum, das Richtige zu finden – insbesondere bei so gefährlichen Erkrankungen wie Krebs. Hier kommt die Früherkennung ins Spiel, die jedoch auch ungewollte Nebeneffekte haben kann: So besteht die Gefahr, auch nicht aggressive Tumore zu entdecken, die zu einer Behandlung führen – aber im Verlauf nicht die Lebensqualität wesentlich beeinflusst hätten oder nicht lebensbedrohlich geworden wären. Die Medizin spricht von Überdiagnostik. Um Früherkennung geht es auch bei TOSYMA: Die weltweit größte randomisierte - sprich: nach dem Zufallsprinzip zugeordnete – diagnostische Überlegenheitsstudie zur Brustkrebs-Früherkennung hat sich die Untersuchung und Verbesserung der systematischen Früherkennung bei invasivem Brustkrebs zur Aufgabe gemacht. In der Fachzeitschrift „Radiology“ haben die Forschenden der Universität Münster, die das Mammutprojekt managen, nun neue Ergebnisse zu TOSYMA veröffentlicht. Diese belegen die Vorteile des innovativen Verfahrens.
Bei den fast 100.000 Studienteilnehmerinnen von TOSYMA kam eine Kombination aus der DBT – kurz für Digitale Brust-Tomosynthese – und synthetischen 2D-Mammographen (SM) zum Einsatz. Die interdisziplinäre Studiengruppe unter der Leitung von Prof. Walter Heindel, Direktor der münsterschen Uniklinik für Radiologie, verglich die mit dem kombinierten – DBT+SM genannten – Verfahren gewonnenen Daten mit denen aus dem Screening mit der herkömmlichen Digitalen Mammographie (DM). Das Ergebnis: DBT+SM führt im Vergleich zum bislang gängigen Vorgehen mit DM zu einer signifikant höheren Entdeckung von Frauen mit invasivem Brustkrebs. Allerdings: Das muss nicht gleichbedeutend sein mit einer verbesserten Frauengesundheit – Stichwort Überdiagnostik. Mit anderen Worten: Dass DBT+SM Brustkrebs besser „findet“, ist erwiesen – nun galt es aber zu untersuchen, ob dies auch tatsächlich zu einer erwartbaren Verbesserung für die betroffenen Brustkrebs-Patientinnen führt.
In einer Subanalyse prüften Prof. Stefanie Weigel, Prof. Walter Heindel und Prof. Hans-Werner Hense, welche Tumore in einem früheren Brustkrebsstadium häufig entdeckt werden – und erkannten, dass mittels DBT+SM-Screening relevante Tumore entdeckt werden können, also jene, die – im Gegensatz zu wenig aggressiven Varianten – potenziell für eine Senkung der Sterblichkeit an Brustkrebs relevant sind. Prof. Stefanie Weigel resümiert: „Aus den Ergebnissen der Subanalyse folgern wir, dass die höhere Rate an frühen Tumorstadien der Tumorgrade 2 und 3 durch den Einsatz von DBT+SM den Screening-Effekt bezüglich der Brustkrebssterblichkeit erhöhen könnte“ – ein weiterer „Pluspunkt“ für DBT+SM.
Der nächste Schritt ist bereits in Arbeit: In diesem Jahr sollen Daten der Krebsregister von Nordrhein-Westfalen und Niedersachsen zur Nachbeobachtung ausgewertet werden, um den Screening-Effekt von DBT+SM gegenüber dem bisherigen Screening-Standard weitergehend zu prüfen. Das Projekt TOSYMA begann 2016, umfasst 17 Screening-Einheiten in Deutschland und wird von der Deutschen Forschungsgemeinschaft finanziell unterstützt. Die aktuelle Förderperiode läuft bis 2025.





