P9: Molecular defects in multiple morphological abnormalities of the sperm flagellum (MMAF)

Johanna Raidt, Department of General Paediatrics (Homepage)
Project summary
A severe form of teratozoospermia including absent, short, bent, coiled, and irregular flagella was newly termed 'Multiple Morphological Abnormalities of the Sperm Flagella' (MMAF). It results in significantly decreased sperm motility (asthenozoospermia), displaying a frequent cause for male infertility.

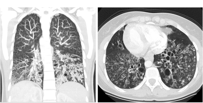
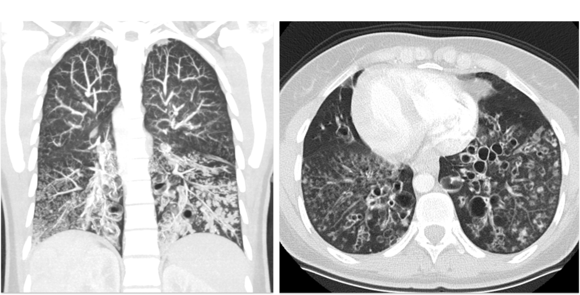
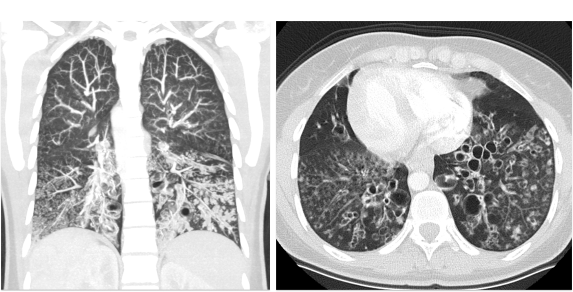
Identification of genetic causes for MMAF is rapidly increasing, whereas knowledge on molecular composition and function of associated components remains poorly understood. As sperm flagella and motile cilia comprise a similar axonemal structure, Primary Ciliary Dyskinesia (PCD), a mucociliary clearance disorder with recurrent airway infections, is closely associated with male infertility. Unfortunately, no evaluation of further disease manifestations, such as lung disease in MMAF males or fertility status of PCD males, is systematically performed.
Our recently published data and preliminary work demonstrate that several MMAF individuals additionally show a respiratory phenotype (e.g. SPEF2), and distinct PCD variants display MMAF (e.g. CCDC39). MMAF and PCD males will be recruited for critical genetic, andrological, and pulmonological evaluation and molecular characterization of human sperm flagella and motile cilia. Translation of study results into patient care will improve diagnostics and make aware potentially associated symptoms in MMAF and PCD with substantial benefit for the patient, if e.g. lung disease is treated properly.

