P5: The molecular role of M1AP in meiotic arrest

Corinna Friedrich, Institute of Reproductive Genetics (Homepage)
Project summary
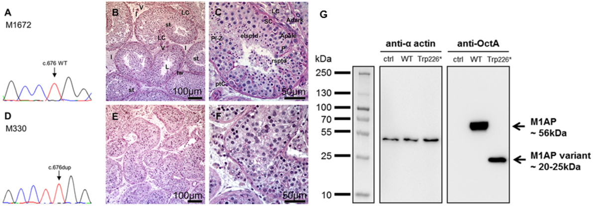
Non-obstructive azoospermia (NOA) is in part caused by meiotic arrest (MeiA) without mature spermatids in the testis. We recently identified meiosis 1 associated protein (M1AP) as one novel underlying candidate gene. In our Male of Reproductive Genetics (MERGE) cohort (>900 exomes and 64 with MeiA), we identified three men with a recurrent loss-of-function (LoF) variant resulting in a severely truncated protein. Our finding was validated in collaboration by the identification of three additional men with NOA and a consanguineous family with infertile males. A previously published M1AP knockout mouse was infertile. M1AP is predominantly expressed in testes. We therefore provide multiple lines of evidence that M1AP plays a crucial role during male meiosis.
Very little is known about the precise expression pattern, the subcellular localisation, or the cellular function of M1AP. The aim of this project is to investigate M1AP on several levels using cellular model systems, human testicular samples as well as generating a new knockout mouse model. Finally, we aim to identify interaction partners of M1AP. This will determine additional candidate genes for male infertility and further elucidate the cellular network of M1AP.

Figure 1. Identification of a recurrent homozygous LoF variant in M1AP (D) leading to meiotic arrest in men (E/F). The duplication (c.676dup) results in a frameshift and premature stop codon (p.Trp226fsTer4) and a severe truncated protein in HEK293Tcells (G).
In perspective, we will shed more light onto meiotic processes and the origin of MeiA leading to male infertility.
