Harald Nüsse
E-mail: nusse@uni-muenster.de
Tel.: +49-(0)251-83 55105

Dr. Yaroslav Tsytsyura
E-mail: tsytsy@uni-muenster.de
Tel.: +49-(0)251-83 51010

Interim group leader:
Prof. Dr. Jürgen Klingauf

Institut für Medizinische Physik und Biophysik
Elektronenmikroskopie
Robert-Koch-Str. 31
D-48149 Münster
Fax: + 49-(0)251-83 51 009
City map

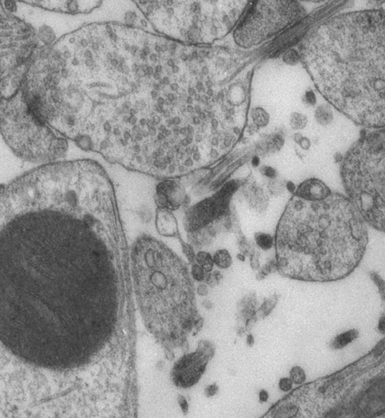
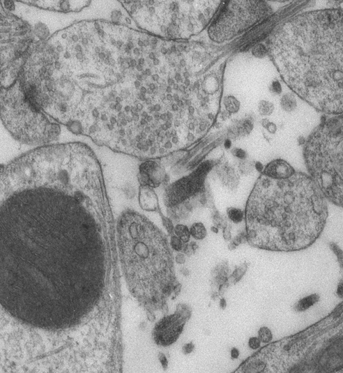
Looped series of serial slices used for 3D reconstruction