Netherton syndrome

The inflamed skin is highly permeable for water (transepidermal water loss) necessitating for the children in the first weeks of life admittance to a neonatal intensive care unit where in particular problems with fluid loss (hypernatremic dehydration) have to be coped with.
This is a congenital type of ichthyosis that is likewise characterized by autosomal recessive inheritance and by a peculiar hair abnormality. The skin is ichthyotic and often migratory, serpiginous skin lesions showing double edged scales are present.
Historically this picture with migrating lesions was called ichthyosis linearis circumflexa. The hair shafts exhibit on microscopic investigation multiple compressions which have been likened to bamboo hair. The correct medical term is trichorrhexis invaginata. The sites of compression easily result in fracture of the hair shaft so that the hair becomes brittle.
A more severe type of Netherton Syndrome presents at birth with a marked inflammation affecting the entire skin (congenital ichthyosiform erythroderma). Sometimes this more severe variant improves when the children grow older and later resembles the milder ichthyosis linearis circumflexa variant. At birth it can be difficult from a more clinical aspect to distinguish this generalized highly inflammatory variant from inflammatory types of ARCI.
Children with severe Netherton Syndrome often also feature deficiencies of the immune system, severe infections, fever, failure to thrive, growth retardation and allergies.
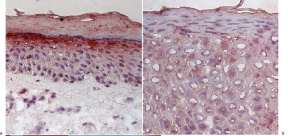
Netherton Syndrome is due to mutations in the gene SPINK5 encoding the protein LEKTI. LEKTI acts as an inhibitor of serine proteases and in particular inhibits several kallikreins which are trypsin-like enzymes of the skin. The loss of this inhibition results in an overactivity of various kallikreins, in massive inflammations and in a diminished and thin stratum corneum.

a) positive control individual (normal) staining for LEKTI in the cells of the granular layer;
b) lack of LEKTI in the skin of a Netherton patient.
The detection of a lack of LEKTI by immune histology of a skin biopsy is rather simple. Therefore, this diagnostic procedure still plays a role, in particular as in some patients it may be difficult to identify both SPINK5 mutations.
