Dolicholkinase deficiency

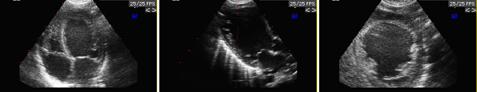
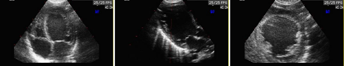
This page is intended to give additional information about dolichol kinase deficiency. The corresponding paper has been published in the March 2007 issue of the American Journal of Human Genetics. Movie of one of the patients for download (13 Mb)(The movie is encoded by DivX and optimized for viewing with Microsoft Windows based computers. Please note that it will only play if you have the DIvX codec installed on your computer. With the DivX codec installed, it should play fine on Macintosh computers as well. You will get the free codec for your computer here.)The patient is shown at 6 months of age. The movie shows the profound muscular hypotonia.A movie of the severe dilative cardiomyopathy will be available on this page soon.For further information please contact marquat@uni-muenster.de