
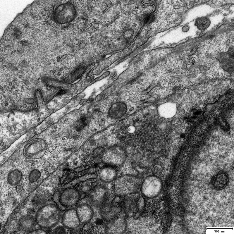
Synapse in neuronal culture


Cultured endothelial cells

Desmosomes in murine heart

Sarcomere of murine heart, longitudinal section

Sarcomere of murine heart, transverse section

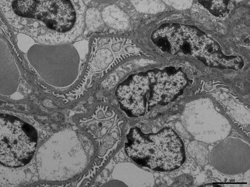
Glomeruli of kidney, mouse

Microvili, mouse kidney

S. cerevisae

Sarcomeres of smooth muscle in mite rectum

Bacteriophages, negatively stained with phosphotungstic acid (upper) and uranyl acetate (lower)